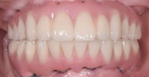
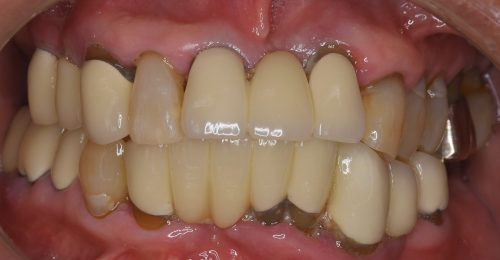
1日で全ての治療が完了! その日から噛める感動を!オールオン4/ザイゴマインプラント 綺麗だねって家族と喜べた

インプラント治療(上部構造含む)プラン例:(税込)000,000円〜/オールオン4(ザイゴマインプラント):(税込)000,000円〜
インプラント累計症例数5000本以上 専用手術室完備
専門医による治療 難症例に対応 駅近!新百合ヶ丘駅徒歩2分 ヤオコー新百合ヶ丘別館2F 新百合ヶ丘-梶ヶ谷-青葉台 間 無料送迎あり

多くの歯を失ってしまった方 骨の量が足りないと言われてお困りの方へ For Those Who Have Lost Many Teeth or Lack Bone Volume

  • 総入れ歯が合わず、痛みや違和感がある
  • 顎の骨が少なく
    「インプラントは難しい」と言われた
  • 噛む力が弱く、
    好きなものを食べられない
  • 見た目や発音が気になり、
    人と話すのをためらってしまう
  • 何度も入れ歯を作り直したが、
    しっくりこない
  • 骨移植や長期治療に不安があり、
    治療を迷っている

そのようなお悩みを解決できる治療法があります

食事や会話を楽しむうえで、歯の存在はとても重要です。しかし、加齢や疾患、事故などにより多くの歯を失ってしまうことがあります。
さらに、顎の骨が痩せてしまい「インプラント治療は難しい」と言われた経験をお持ちの方も少なくありません。
このような場合でも、現在はオールオン4やザイゴマインプラントといった新しい治療法により、通常のインプラントが難しい症例にも対応できる可能性があります。これらの方法は、治療期間やコストの面でも従来法に比べて有利な点があります。

オールオン4 All-on-4

オールオン4は、4本のインプラントで上顎または下顎の人工歯列を支える方法です。従来の多数本インプラントよりも少ない本数で治療できるため、身体的負担や治療期間、費用を抑えられることが特徴です。

ザイゴマインプラント Zygoma Implants

ザイゴマインプラントは、骨が不足している上顎に対して頬骨(ザイゴマ)を利用して固定する手法で、骨移植を行わずに治療が可能になる場合があります。これにより、従来は手術が難しいとされていた方にも対応の幅が広がっています。

時間や費用などの負担を
抑えられるオールオン4

時間や費用などの負担を抑えられるオールオン4 イメージ01

この治療法は、総入れ歯を使用している方や、歯周病などで多くの歯がグラグラになり、近い将来に歯を失う可能性が高い方のために考案されました。一般的なインプラント治療は1本の歯に対して1本のインプラントを埋入して固定します。多くの歯を失った場合、失った歯の本数分だけインプラントを埋入する必要があるため、患者さまにとって身体的・費用的・時間的な負担が大きく、現実的ではありませんでした。オールオン4は、この課題を解決するために開発された治療法です。

続きを見る
時間や費用などの負担を抑えられるオールオン4 イメージ02

オールオン4では、インプラントを斜めに埋め込むことで噛む力を広く均等に分散し、最小4本のインプラントで上顎または下顎の全ての人工歯を支えることができます。日帰りで手術が可能なため、患者さまの身体的な負担も軽減され、手術当日に仮歯を装着できます。わずか1日で口元の機能と見た目が改善され、これまでの歯に関する悩みから解放されます。多くの歯を失った患者さまにとって、治療にかかる時間や費用、身体の負担を最小限に抑えながら、安定した噛み心地と自然な見た目を実現できる治療法です。

オールオン4の症例を見る

骨が極端に薄いケースでも可能なザイゴマインプラント

骨が極端に薄いケースでも可能なザイゴマインプラント イメージ01

長年にわたる義歯使用や重度の歯周病により、顎の骨が十分に残っていない患者さまでは、従来のインプラント治療が難しい場合があります。骨吸収は、歯が失われることで顎の骨への刺激が減少することにより進行する自然現象です。脱着式の義歯を長期間使用すると、顎の骨に十分な刺激が伝わらず、骨吸収が進行することがあります。

続きを見る
骨が極端に薄いケースでも可能なザイゴマインプラント イメージ02

ザイゴマインプラントは、標準的なインプラントより長いインプラント体を使用し、顎骨ではなく頬骨下側に固定することで、上顎にほとんど骨がない場合や骨が極端に薄いケースにも対応できる選択肢として注目されています。この手法では、手術当日に仮歯を装着し、すぐに噛む機能を回復できるよう設計されています。

通常、ザイゴマインプラントは上顎の後方部分に埋入されます。さらに、骨吸収が特に重度の場合には、両側に2本ずつザイゴマインプラントを埋入することもあります。これにより、従来は治療が難しかった症例でも、安定した咬合と審美性を実現できます。

ザイゴマインプラントの症例を見る

他院では断られた方でも 当院でなら諦めなくて済むかもしれません! 当院でなら諦めなくて 済むかもしれません! A new option may be waiting for you here.

他院で断られた方でも当院でなら諦めなくて済むかもしれません! イメージ

インプラントを必要とする多くの場合、オールオン4での適応が可能ですが約15%程度の患者様は顎の骨が少ないなどの理由で、治療不可または断られるケースが少なくありません。
しかし、当院では実績豊富なインプラント専門歯科医師のもと、ザイゴマインプラント技術を施すことでインプラント埋入を可能としています。
つまり、ほとんどのケースでインプラントが可能であると言えます。 他院で断られた方もぜひ一度ご相談ください。

信頼性の高いインプラント治療とは 技術診断力体制
研究心継続的サポート
が歯科医師・歯科衛生士連携のもとに揃っていることです。
What Makes Implant Treatment Truly Reliable

医療法人ファイブエスの
歯科医師が信頼される理由
Reasons for Trust in Five S Dentists

  • 医療法人ファイブエスの歯科医師が信頼される理由 イメージ1

    歯科医師全員が
    日本口腔インプラント学会に所属

    当院の歯科医師は例外なく全員が日本口腔インプラント学会に所属しています。これは、「どの担当医が診ても、同じ専門基準に基づいた治療ができる医院」をつくるための約束です。当学会は、国内で最も歴史・規模・信頼性のある団体であり、学術大会・講習会への参加、最新情報のアップデートはすべて義務化されています。治療品質の向上のために、常に学び続ける文化が根付いています。

  • 医療法人ファイブエスの歯科医師が信頼される理由 イメージ2

    鶴見大学歯学部インプラント
    センターでの
    「現役研修」が必須

    歯科医師全員が鶴見大学歯学部インプラントセンターでの研修を受けています。そして重要なのは、「研修が終わったら終わり」ではないという点です。
    現在も、継続的に鶴見大学での研鑽を義務付け、学術的な根拠に基づいた手術技術・最新の治療知識を積極的に取り入れています。

  • 医療法人ファイブエスの歯科医師が信頼される理由 イメージ3

    専門医監修のもと、
    すべてのインプラント治療を実施

    インプラント治療はすべて専門医の監修下で行われ、担当医が誰であっても、必ず専門医が治療計画に介入し、必要に応じて手術にも参加します。
    他院では「監修は名ばかり」「全症例に入らない」という体制も珍しくありませんが、当法人では全てのケースで専門医がチェックする仕組みが明確に整っています。患者さまにとっては「どのドクターに当たっても安心」という極めて大きなメリットになります。

  • 医療法人ファイブエスの歯科医師が信頼される理由 イメージ4

    チーム医療と技工所連携による
    高い再現性

    各医院の歯科医師だけでなく、技工士・衛生士・事務局まで含めた「チーム医療文化」があります。特にインプラント治療では、自社技工所との密な連携により、上部構造や噛み合わせまで精密に再現することが可能です。
    「CT解析・サージカルガイド作成・上部構造の設計」といった一連の工程を、法人全体で統一された基準で行っています。

  • 医療法人ファイブエスの歯科医師が信頼される理由 イメージ5

    研鑽を続ける「学びの文化」が
    根付いている

    当法人には常に学び続ける「前向きな空気」があります。学術大会、研究会、外部セミナー、院内勉強会、症例検討会など、どの歯科医師も日常的に研鑽を磨き、互いに学び合う姿勢が当たり前になっています。患者さまから見えないところで「安全のためにどれだけ準備しているか」これこそが、医療法人としての価値だと私たちは考えています。

医療法人ファイブエスの
歯科衛生士が信頼される理由
The Reason Why Dental Hygienists at Five S Are Trusted

  • 医療法人ファイブエスの歯科衛生士が信頼される理由 イメージ1

    全国的にも取得者の少ない
    ダブル資格

    当法人の歯科衛生士は、日本口腔インプラント学会の専門歯科衛生士そして日本歯周病学会の専門歯科衛生士という、全国的にも取得者の少ないダブル資格を積極的に取得しています。インプラントと歯周病、両方の高い専門性を備えた衛生士が揃う医院は多くありません。だからこそ、インプラント治療を受ける患者さまにとって、治療後の管理に非常に大きな安心につながります。

  • 医療法人ファイブエスの歯科衛生士が信頼される理由 イメージ2

    インプラント周囲炎を
    徹底して
    予防するための「専門指導体制」

    インプラントは入れて終わりではなく、術後のメンテナンスが予後を左右します。インプラント周囲炎を防ぎ、長持ちさせるために日本歯周病学会指導医である西村紳二朗先生から継続的に指導を受けています。インプラント周囲の診査基準やバイオフィルムコントロールの方法、最新の研究に基づくクリーニング手技、ケース検討会でのフィードバック、衛生士個々のスキル向上プログラム、大学レベルの歯周病管理など、日常診療の現場に落とし込むための体制です。

  • 医療法人ファイブエスの歯科衛生士が信頼される理由 イメージ3

    「治療を守る」専門衛生士が
    担当につく安心感

    治療は「入れる医師の技術」と同じくらい、「守る衛生士の技術」で長持ちが決まります。専門資格を持つ衛生士がインプラント周囲の検査や、BOP・排膿の早期発見、噛み合わせの変化の把握、正しいブラッシングの指導、生活習慣に応じた個別アドバイスなどきめ細かい管理を行うことで、10年・20年と長く安定した状態を維持できるようサポートします。

  • 医療法人ファイブエスの歯科衛生士が信頼される理由 イメージ4

    安心して通える「チーム医療」の一員

    当法人の衛生士は、歯科医師と同じステージで症例検討に参加し、インプラント、歯周病、補綴、噛み合わせを総合的に学びながら患者さまの長期予後を守るプロとして動いています。「患者さんの人生を支える治療をしたい」という思いを原動力に、常に新しい知識を吸収し、技術を磨き続ける姿勢が特徴です。

豊富な症例実績 Extensive Cases

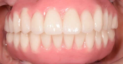
  • オールオン4(上顎4本下顎4本)

    術前
    術後3年以上
    年齢・性別 75歳・女性
    治療期間 5ヶ月、通院回数18回
    治療費用 5,492,080円(税込)
    治療内容 1年前に作った入れ歯が痛くなり噛めない。バネも歯肉に刺さると来院。今回は入れ歯ではなくしっかり噛みたいということでオールオン4を希望。
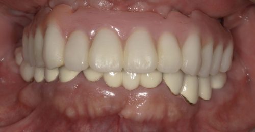
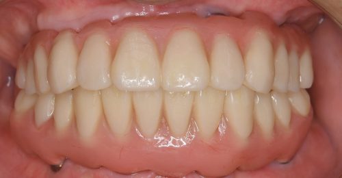
  • オールオン4(上顎5本下顎4本)

    術前
    術後
    年齢・性別 63歳・男性
    治療期間 5ヶ月、通院回数18回
    治療費用 5,720,880円(税込)
    治療内容 歯周病により歯が動揺し噛めない状態。仕事に差し支えないように話しやすく、口元も綺麗にしたい。しっかり噛めるようにしたい。
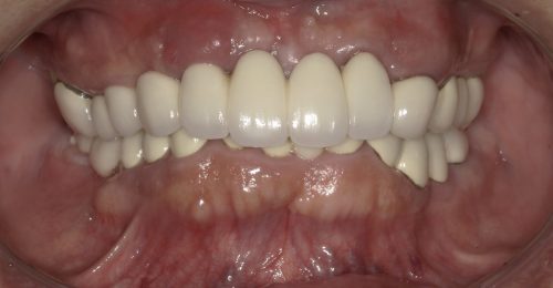
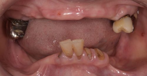
  • 上顎インプラント2本とザイゴマ2本によるオールオン4

    術前
    術後
    年齢・性別 67歳・男性
    治療期間 オペから上部セットまで5ヶ月、通院回数17回
    治療費用 3,021,040円(税込)
    治療内容 右上前歯が痛みがあり来院。本人の希望は入れ歯にはしたくない、歯がない時期があると困る、他院ではインプラントはできないといわれたとのことで、抜歯・インプラントオペ当日に歯まで入るオールオン4を希望。
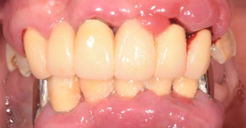
  • 上顎インプラント3本とザイゴマ2本、下顎インプラント4本による上下オールオン4

    術前
    術後
    年齢・性別 65歳・女性
    治療期間 オペから上部セットまで6ヶ月、通院回数19回
    治療費用 5,758,180円(税込)
    治療内容 前歯のブリッジが取れ来院。下顎臼歯のデンチャーも使っていない状態。歯周病も重度で上下顎でしっかり噛みたいとインプラントを希望。
症例ページを見る

無料カウンセリング相談 Consultation

無料カウンセリング相談 イメージ

インプラント治療は、治療方法や費用、期間など、知っておきたい情報が多くあるため、まずは十分に理解したうえで選択することが大切だと考えています。当院では治療を検討される方が安心して判断できるよう、事前に内容を確認できる無料カウンセリング相談を実施しています。
初めての方でも、専門スタッフが治療の流れや使用する素材、期間、費用などについて丁寧に説明し、不安や疑問にもきめ細かくお応えいたします。お気軽にご相談いただき、納得感のある治療を進めていきましょう。

ご予約・お問い合わせ Contact

電話相談受付中 年中無休 044-966-9961

ご家族の方へ 私たちはご家族が患者さまと喜べる 私たちはご家族が 患者さまと喜べる 治療を目指しています We aim for treatments that bring joy to patients and their families

インプラント治療は、ご本人だけでなく、ご家族にとっても大きな決断となります。
噛むことや会話を楽しめるようになることで、生活の質が向上し、自然と家族との時間も笑顔あふれるものになります。
私たちは、ご家族と一緒に相談できる環境を整え、費用や治療内容に関する疑問にわかりやすくご説明するよう心がけています。
患者さまがご家族とともに喜びを分かち合える治療を目指しています。

骨が足りない方でも
オールオン4やザイゴマ
という
選択肢があります
Smiles Shared with Your Family

ご家族の方へ イメージ

顎の骨が少ない場合、従来は骨移植や複数回の手術が必要とされてきました。オールオン4やザイゴマインプラントは、骨の状態に合わせてインプラントの角度や位置を工夫することで、骨移植を避けられる場合があります。
これにより、治療期間や身体的負担を軽減し、複雑な条件の方にも治療の選択肢を広げることができます。治療時には精密なCT撮影やシミュレーションソフトを用いて詳細な診査・診断を行い、リスクを把握したうえで治療計画を策定します。

治療法の比較 Comparison chart

治療法ブリッジ
ブリッジ イメージ
入れ歯(義歯)
入れ歯(義歯) イメージ
通常のインプラント
通常のインプラント イメージ
オールオン4
オールオン4 イメージ
ザイゴマ
インプラント
ザイゴマインプラント イメージ
特徴失った歯の両隣の
歯を削り、
橋渡しのように固定
取り外し式で
清掃可能
失った歯1本に対して
1本のインプラントを埋入
上下顎それぞれ4本の
インプラントで全体の
人工歯列を支える
上顎骨の代わりに
頬骨(ザイゴマ)へ
インプラントを固定する
メリット比較的短期間で治療可能、
取り外し不要
多くの歯を失っても
対応可能、
健康な歯を削らない
噛む力が天然歯の約80%
まで回復、隣の歯を
削らない、審美性に優れる
最小4本で全顎対応、
手術当日に仮歯装着可能、
治療期間・費用を
抑えやすい
大幅な骨量不足でも
対応できる可能性がある、
骨移植を回避できる
ケースがある、総入れ歯
の方にも適応しやすい
デメリット健康な歯を削る
必要がある、将来的に
支えの歯に負担がかかる
噛む力が
天然歯の約30%に減少、
装着感に慣れが必要
骨量不足の場合は
骨移植が必要、治療期間が
長くなる、自由診療
専門医が必要、
全ての歯を抜歯する
必要あり
高い技術を必要とする治療、適応に専門的判断が必要、一般的なインプラントより手術が複雑、費用が高額になることがある
適応例1〜数本の歯を
失った場合
多数歯を失った場合、
すぐに対応したい場合
骨量が十分ある場合、
部分的な歯の欠損
総入歯使用中、
多数歯を失っている方、
歯周病で歯の
喪失リスクが高い方
上顎の骨が極端に少ない方、従来のインプラントが難しいと判断された方、骨移植を避けたい方

当院が選ばれる理由 Reasons to Choose Our Clinic

  • 当院が選ばれる理由 イメージ1

    豊富なインプラント治療の実績

    オールオン4やザイゴマインプラントを含むインプラント治療で多数の症例経験があります。難症例や顎骨の条件が特殊な方にも対応してきた実績をもとに、患者さま一人ひとりの口腔状況に合わせた治療計画を立案しています。
    専門医による診療体制により、安全性と精度を重視した治療を行っています。

  • 当院が選ばれる理由 イメージ2

    専門医による治療

    日本口腔インプラント学会専門医やインストラクター資格を持つ歯科医師が治療を担当します。
    ザイゴマインプラント治療については、国内でも限られた歯科医師のみが取得している技術証明書を保有しており、専門的な知識と経験に基づいた治療が可能です。

  • 当院が選ばれる理由 イメージ3

    大学病院レベルの高度な設備

    専用オペ室やCTスキャン、ピエゾサージェリーなどの高度な設備を整え、治療計画を精密に立てることが可能です。
    安全性や正確性の向上に役立てながら、患者さまの口腔状況に応じた適切な処置を行える体制を整えています。

  • 当院が選ばれる理由 イメージ4

    痛みや恐怖心が強い方へ配慮

    治療に不安や恐怖心がある方には、麻酔専門医による静脈内鎮静法を利用したインプラント手術が可能です。眠っているような状態で治療を受けられるため、痛みや緊張を感じにくくなります。
    安全性を高めるため、血液検査や心電図、胸部レントゲン、尿検査などを事前に実施し、体に合った麻酔管理を行います。

  • 当院が選ばれる理由 イメージ5

    インプラント専門の
    カウンセラーが在籍

    治療内容や費用について事前にわかりやすく説明するインプラント専門カウンセラーが在籍しています。
    患者さまやご家族が納得したうえで治療を選択できるよう、疑問や不安に丁寧に対応し、安心して治療を受けられる環境を整えています。

  • 当院が選ばれる理由 イメージ6

    インプラント保証システム

    手術後も定期的なメンテナンスで噛み合わせや歯ぐきの状態を確認し、必要に応じて専門スタッフが調整やクリーニングを行います。
    さらに、全国の認定医院で再治療が可能な「インプラント10年保証」と、補綴物の交換・調整を行えるPMMAサブスクリプションサービスにより、治療後も長期的にサポートを受けられます。

  • 当院が選ばれる理由 イメージ7

    法⼈内⻭科技⼯所
    クリークライフデザイン

    院内に歯科技工士が常駐しており、手術当日に仮歯を装着する体制を整えています。 歯科医師と技工士が密に連携し、患者さまの歯の色や形の要望を直接反映できるため、精度の高い上部構造を迅速に提供可能です。オールオン4など即日インプラント治療にも対応できます。

  • 当院が選ばれる理由 イメージ8

    グループ展開による総合力

    当グループは関東圏を中心に複数の医院を展開しており、すべての拠点にインプラント専門医が在籍しています。各医院で専門的な治療が提供できる体制に加え、一般歯科・口腔外科・矯正治療などの各分野が連携可能なため、包括的な診療計画の作成や多岐にわたる治療への対応が可能です。
    また、各医院は駅近でアクセスが良く、通院しやすい環境を整えています。

  • 当院が選ばれる理由 イメージ9

    無料送迎サービス

    インプラント手術当日には、患者さまの安全と通院の負担軽減のため、条件に応じて無料送迎サービスを行っております。鎮静剤使用後や体調面に不安がある場合でも、安心して来院・帰宅していただける体制を整えています。ご家族の付き添いや送迎の必要がある方もご利用いただけますので、希望される方は事前にご相談ください。 対応エリア/
    新百合ヶ丘(新百合ファーストデンタル)~梶ヶ谷(プライム歯科 梶ヶ谷)~青葉台(青葉台ファースト歯科)

ご予約・お問い合わせ Contact

電話相談受付中 年中無休 044-966-9961

ドクター紹介 Doctor

永田 達也 院長

豊富な臨床経験と
高い専門性

日本口腔インプラント学会専門医資格を保有し、国内でも限られた歯科医師のみが取得できるザイゴマインプラントの技術証明書も取得しています。大学病院や専門クリニックで難症例を含む多くのインプラント治療に携わり、講演や研修会での指導経験も豊富です。
専門的な知識と経験をもとに、患者さま一人ひとりの状態に合わせた治療計画を立案。将来を見据えた治療を提供しています。

永田 達也 院長
院長
口腔インプラント専門医認定証

略歴

  • 北海道大学歯学部 卒業
  • 北海道大学大学院歯学研究科 入局
  • 医療法人社団厚誠会 院長理事を歴任
  • 新百合ヶ丘にて開業

所属学会・認定資格

  • 日本口腔インプラント学会 専門医
  • ITIインプラント認定医
  • ブローネマルクインプラント認定医
  • リプレイスインプラント認定医
  • ノーベルアクティブ認定医
  • スクリューベントインプラント認定医
  • 日本補綴学会・日本歯科医学会・日本臨床歯周病学会・
    日本歯周病学会・顎咬合学会 会員
  • FMSインプラント研究会 会員
治療の流れ 背景画像
治療の流れ 背景画像
治療の流れ 背景画像

治療の流れ Treatment Flow

インプラント治療は、虫歯治療のようにすぐに対応できる治療ではありません。 治療のメリット・デメリットを十分に理解し、歯周病や虫歯の治療を終えておくことが成功への第一歩です。また、糖尿病や肝臓疾患などの全身疾患がある場合は、治療を受けられないことがあります。安全に治療を進めるために、まずは以下の診査・検査を行います。

  • 治療の流れ イメージ1

    初診カウンセリング

    • お口の状態や治療に対する希望、費用
      ・治療期間などの疑問を伺います。
    • 毎週通院が難しい方や、治療期間中
      に予定がある方もご相談ください。
    • インプラント以外の治療法も含め、
      わかりやすくご説明します。
    • 過去の歯科経験や不安、悩みなども
      遠慮なくお伝えください。
  • 治療の流れ イメージ2

    検査・診断

    • インプラント治療の目的は「自然な
      口元で快適に噛めること」です。
    • 歯だけでなく、
      お口全体の状態を診断します。
    • 主な検査内容
      • 歯周病検査
      • レントゲン・CT撮影
      • ブラッシング
        チェック
      • 必要に応じて血液検査・心電図
        ・胸部レントゲン・尿検査
  • 治療の流れ イメージ3

    治療計画の立案

    • CTデータや歯型模型、
      残存歯の状態を総合的に診断し、
      治療プランをご提案。
    • メリット・デメリットを
      比較しながら、患者さまと
      一緒にプランを選択します。
    • 審美的な前歯は、模型を使って
      仕上がりのイメージを
      ご確認
      いただけます。
    • 不安や疑問があれば、
      治療中止の相談も可能です。

     

  • 治療の流れ イメージ4

    手術前の準備

    • 歯周病や虫歯の治療を行い、
      口腔内の細菌を減らして
      手術の成功率を高めます。
    • 全身状態の評価を行い、
      麻酔専門医による
      静脈内鎮静法も利用可能です。
    • 安全に手術を行うために
      必要な準備を整えます。
  • 治療の流れ イメージ5

    インプラント手術

    • 麻酔を効かせ、痛みを最小限に
      抑えながら手術を行います。
    • 手術時間は単独のインプラントで
      約15〜30分、麻酔準備に30分程度。
    • 骨の補填が必要な場合は
      30分〜1時間ほど余裕を見ます。
    • 手術当日に仮歯を装着できる
      場合があります。
    • 翌日には経過観察・消毒のため
      来院いただきます。
  • 治療の流れ イメージ6

    抜糸

    • 手術後1週間〜10日で
      抜糸を行います。
    • 縫合が一部外れてもほとんど
      問題はありませんが、抜糸までの
      期間は必ずご来院ください。
  • 治療の流れ イメージ7

    仮歯・本歯の装着

    • インプラントと骨の結合が確認
      できたら、仮歯を作製します。
      (下顎3〜4ヶ月、上顎4〜6ヶ月が目安)
    • 仮歯で問題がなければ、最終的な
      本歯(セラミックなど)を製作し、
      装着して治療終了です。
  • 治療の流れ イメージ8

    定期メンテナンス

    • 治療後も3〜4ヶ月ごとの
      定期チェックで
      長期的な安定を目指します。
    • 年2回以上の来院を推奨。
    • お口のケアを怠ると、インプラント周囲で歯周病のような症状が
      起こることがあります。

よくある質問 FAQ

アフターフォロー
保証について
Aftercare & Warranty

インプラント治療後の長期的な健康維持を重視し、治療後も継続したアフターフォローを行っています。手術後は定期的なメンテナンスや検診を実施し、噛み合わせやインプラント周囲の歯ぐきの状態を細かくチェックします。必要に応じて専門スタッフがクリーニングや調整を行い、インプラントが長く安定して機能するようサポートします。

さらに、株式会社ガイドデントの「インプラント10年保証」により、全国の認定医院で治療の継続や再治療が可能です。治療後に転居や医院の閉院などがあった場合でも、保証を引き継いで受けることができ、長期的な安心感につながります。
保証内容は上部構造(人工の歯)およびインプラント体(人工歯根)の両方が対象で、保証書により条件や範囲が明確に示されます。

また、補綴物(人工歯)の快適さと美しさを長く維持するため、PMMAサブスクリプションサービスもご用意しています。これは定期的な補綴物の交換・調整をサブスクリプション形式で行える仕組みで、治療後の生活をさらに安心・快適にサポートします。
治療後も安心して生活いただけるよう、アフターフォロー・保証・補綴サポートの3つの側面から患者さまを支えてまいります。

治療費について Price

オールオン4(ザイゴマインプラント)
1,832,000円〜
税込 2,015,200 円〜
インプラント治療(上部構造含む)
368,000円〜
税込 404,800 円〜

お支払い方法

治療費のお支払いは、
患者さまのご都合に合わせて
以下の方法で承っております。

  • 窓口での
    現金
  • お振込み
  • 分割払い

    スルガ銀行「リザーブドプランプラス」
    JACCS「デントキュア」などのデンタルローン

  • クレジットカード

医療費控除について

インプラント治療は自由診療のため、保険の適用はありません。
ただし、支払った費用が条件を満たす場合、「医療費控除」の対象と
なることがあります。

  • 現金のほか、クレジットカードや
    デンタルローンでの
    お支払いも控除の対象です。

  • 1年間にかかった医療費の合計が
    10万円を超える場合、
    確定申告
    を行うことで所得税の還付を
    受けられる可能性があります。

  • 申告には書類の準備や
    手続きが必要ですが、
    あらかじめ
    確認しておくことで
    安心して手続きを進められます。

当院では、患者さまが治療に専念できるよう、支払い方法や控除についても分かりやすくご案内しております。ご不明な点は、どうぞお気軽にご相談ください。

ご予約・お問い合わせ Contact

電話相談受付中 年中無休 044-966-9961

インプラント治療に伴う主なリスク・副作用について Risks and Side Effects

  • インプラントを埋め込む際には
    外科手術が必要です。
  • インプラント治療は機能性・
    審美性を追求するため自費診療
    (保険適用外)となり、
    保険診療より高額になります。
  • 高血圧、心臓疾患、喘息、糖尿病、
    骨粗しょう症、腎機能・肝機能障害などの持病がある場合、
    治療を受けられないことがあります。
  • 手術後に痛みや腫れが出る
    場合がありますが、
    多くは1週間ほどで改善します。
  • 手術後、一時的に歯肉・舌・唇・
    頬の感覚が麻痺することがあります。
    また、顎・鼻腔・上顎洞の炎症や
    痛み、治癒の遅れ、顔面部の内出血
    が起こることがあります。
  • 手術後、服用する薬剤の影響で、
    眠気・めまい・吐き気などの
    副作用が現れる場合があります。
  • 喫煙や飲酒は治癒を妨げるため、
    手術後1週間は控えてください。
  • 日々のお手入れや使用方法が不十分な
    場合、破損したりインプラント周囲炎
    (歯肉の腫れや骨の吸収など)を
    引き起こすことがあります。
  • インプラントの耐用年数は、
    骨や歯肉の状態、噛み合わせ、日々の歯磨き、メンテナンス受診の頻度、
    喫煙の有無など、口腔内環境によって
    大きく変わります。

新百合ファーストデンタルのご案内 新百合ファーストデンタルの ご案内 Information

小田急線新百合ヶ丘駅から徒歩圏内に位置し、アクセスしやすい立地です。
複数のグループ医院があり、どの拠点にもインプラント治療に精通した歯科医師が在籍しています。一般歯科・矯正歯科・口腔外科など幅広い診療科と連携できるため、総合的なサポートを受けることが可能です。

診療時間
9:30 – 18:00
9:30 – 17:00

※受付は診療時間の30分前までとさせていただきます。
※院内清掃や勉強会の為、休診する場合がございますので、
診療カレンダーをご確認ください。

  • 所在地神奈川県川崎市麻生区上麻生3-1-1
    ヤオコー新百合ヶ丘店別棟2F
  • 最寄駅新百合ケ丘駅 徒歩5分
  • TEL044-966-9961
新百合ファーストデンタル

グループ医院のご紹介 Group Clinics

  • 青葉台ファースト歯科

    青葉台ファースト歯科

    10年、20年先を見据えた診療で、長く満足いただける医療の提供を目指しています。

    • 所在地神奈川県横浜市青葉区
      青葉台2-9-1
      ケンプラザ青葉台ビル 4F
    • 最寄駅青葉台駅 徒歩1分
    • TEL045-479-8241
  • プライム歯科梶ヶ谷

    プライム歯科梶ヶ谷

    十分な説明と同意のうえで、安心と信頼を重視した治療を行っています。

    • 所在地神奈川県川崎市高津区
      末長1-9-1
      スタイリオ梶が谷MALL6F
    • 最寄駅梶が谷駅 徒歩1分
    • TEL044-750-0790
  • 新百合山手ファースト歯科

    新百合山手ファースト歯科

    丁寧なカウンセリングを重視し、一人ひとりに合った治療方法を提案しています。

    • 所在地神奈川県川崎市麻生区
      万福寺3-1-1 ハレアカラ1F
    • 最寄駅新百合ケ丘駅 徒歩2分
    • TEL044-966-9961

協力先 Partner Companies

  • 株式会社クリークライフデザイン

    株式会社クリークライフデザイン

    CAD/CAMや3Dプリンターなどの最新設備を用い、高品質な技工物とサポートを提供しています。

    • 所在地東京都世田谷区玉川台
      2-20-14
    • 最寄駅用賀駅 徒歩約5分
    • TEL03-6431-0351

ご予約・お問い合わせ Contact

はじめての方やインプラント治療にご不安な方も、まずはお気軽にご相談ください。
数多くの症例を交えながら、患者さまに適した治療法をご提案いたします。お電話は年中無休でお受付しております。また、無料のカウンセリング相談はインターネットから24時間いつでもご予約可能です。

新百合ファーストデンタル Shinyuri First Dental

電話相談受付中 年中無休 044-966-9961